Insiden memalukan mengguncang ajang Miss Universe 2025 di Bangkok, Thailand, memicu gelombang kemarahan dan perdebatan…
Indira1095 Pos
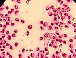
Bikin Merinding! Balita Ini Positif Gonore Bukan Karena Seks, Kisahnya Bikin Syok dan Jadi Kasus Paling Unik!
Siapa sangka, sebuah kejadian yang nyaris tak terbayangkan bisa menimpa seorang balita di San Antonio,…
Bukan Cuma Resep! Ini 6 Trik Aman Konsultasi Kesehatan Pakai ChatGPT yang Wajib Kamu Tahu
ChatGPT kini bukan cuma jago meracik ide kerja atau resep masakan impian. Banyak dari kita…
Habis Makan Langsung Kebelet BAB? Ternyata Ini 7 Rahasia Tubuhmu yang Wajib Kamu Tahu!
Pernahkah kamu merasakan dorongan kuat untuk buang air besar (BAB) segera setelah menyantap hidangan lezat?…
Minum Sejarah! Resep Bir 5.000 Tahun dari Sumeria Kini Bisa Kamu Cicipi di Madrid
Pernahkah kamu membayangkan menyeruput minuman yang dibuat berdasarkan resep berusia ribuan tahun? Bukan sekadar replika,…
Bukan Cuma Jempol Kaki, Asam Urat Juga Bisa Serang Jari Tanganmu! Waspada Gejala dan Cara Mencegahnya
Asam urat, atau yang dikenal dalam dunia medis sebagai gout, adalah salah satu jenis radang…
Terungkap! Bukan Cuma Genetik, 10 Rahasia Hidup Panjang Umur Ini Gampang Banget Kamu Terapkan!
Siapa sih yang gak mau punya umur panjang dan selalu sehat? Hampir semua orang pasti…
Bukan Sekadar Bumbu Dapur! Rebus Bawang Putih dan Rasakan 7 Keajaiban Ini di Tubuhmu
Selama ini, bawang putih mungkin hanya kamu kenal sebagai bumbu wajib di dapur yang bikin…
Pecah Rekor! Jalur Kereta Terpanjang Dunia Hadir, Portugal-Singapura 21 Hari Lintas Benua
Siapa sangka, impian untuk melintasi benua dengan kereta api kini bukan lagi sekadar angan-angan. Sebuah…
Fakta Mengejutkan! Kentang Kalahkan Nasi Putih dalam Urusan Kesehatan? Simak Penjelasannya!
Kamu mungkin sering bertanya-tanya, mana yang lebih baik antara nasi dan kentang, terutama jika kamu…
Tidak Ada Postingan Lagi.
Tidak ada lagi halaman untuk dimuat.



