Siapa sangka, sebuah kejadian yang nyaris tak terbayangkan bisa menimpa seorang balita di San Antonio, Texas, Amerika Serikat. Kisahnya begitu miris dan mengejutkan, hingga menjadi catatan medis yang sangat langka dan masih dibicarakan hingga kini. Bagaimana tidak, seorang balita berusia tiga tahun didiagnosis positif terinfeksi gonore, bukan melalui penularan umum yang kita kenal, melainkan karena sebuah insiden yang sangat tidak disengaja dan tak terduga.
Awal Mula Insiden yang Tak Terlupakan
Semua bermula dari rutinitas seorang ibu yang berprofesi sebagai staf laboratorium mikrobiologi. Seperti biasa, ia mengumpulkan berbagai cawan petri berisi sampel klinis dari pasien, yang tak lain adalah material penting untuk analisis di lab. Cawan-cawan ini berisi media pertumbuhan yang dirancang khusus untuk mengidentifikasi jenis bakteri tertentu.
Tanpa menyadari potensi bahaya yang mengintai, cawan-cawan tersebut ia simpan di kursi belakang mobilnya. Di hari yang sama, sang ibu membawa buah hatinya yang masih balita ke tempat kerjanya, sebuah keputusan yang kemudian berujung pada insiden tak terlupakan ini. Mungkin ia tidak pernah membayangkan bahwa momen singkat ini akan mengubah segalanya.
Sepulangnya ke rumah, dalam momen yang mungkin hanya berlangsung beberapa menit, si ibu sempat meninggalkan putranya sendiri di dalam mobil. Ia bermaksud menaruh barang-barang belanjaan ke dalam rumah, sebuah tindakan yang sering kita lakukan tanpa berpikir panjang dalam kesibukan sehari-hari.
Namun, saat kembali ke mobil, pemandangan yang menyambutnya sungguh membuat jantungnya berdegup kencang dan darahnya seolah berhenti mengalir. Putranya telah merangkak ke kursi belakang, tepat di mana sampel-sampel klinis pasien disimpan. Yang lebih mengerikan, balita tiga tahun tersebut telah memakan sebagian besar isi dari salah satu cawan petri.
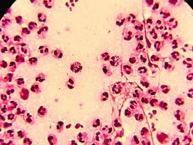
Cawan itu berisi medium pertumbuhan bakteri yang tampak seperti ‘agar-agar cokelat’—sebuah jebakan visual yang menggoda selera anak-anak. Bagi seorang balita yang masih dalam fase oral, segala sesuatu yang terlihat menarik dan bisa dijangkau pasti akan dicicipi. Siapa sangka, ‘camilan’ tak terduga ini membawa konsekuensi yang tak pernah terbayangkan.
Diagnosis Mengejutkan yang Mengubah Segalanya
Panik dan khawatir, sang ibu tanpa menunda langsung membawa putranya ke rumah sakit terdekat. Ini adalah respons yang sangat tepat, mengingat potensi bahaya dari apa yang baru saja dikonsumsi anaknya. Dokter dan tim medis segera melakukan serangkaian pemeriksaan untuk mengetahui apa yang sebenarnya telah dimakan si balita.
Berdasarkan laporan kasus yang dipublikasikan dalam jurnal bergengsi The New England Journal of Medicine pada tahun 1984, hasil pemeriksaan menunjukkan sesuatu yang mengejutkan. Cawan laboratorium yang dimakan si balita ternyata mengandung Neisseria gonorrhoeae, bakteri penyebab gonore. Sebuah diagnosis yang pasti membuat orang tua mana pun syok.
Mendengar diagnosis ini, dokter memutuskan untuk memantau ketat perkembangan si balita. Dan benar saja, pada hari kedelapan setelah insiden, pemeriksaan lebih lanjut mengonfirmasi bahwa si balita positif terinfeksi gonore. Ini adalah kabar yang sangat berat, mengingat usia dan kondisi si balita yang sama sekali tidak terkait dengan penularan gonore pada umumnya.
Memahami Gonore: Mengapa Kasus Ini Begitu Unik?
Sebelum kita membahas lebih jauh, penting untuk memahami apa itu gonore. Gonore adalah infeksi menular seksual (IMS) yang disebabkan oleh bakteri Neisseria gonorrhoeae. Penyakit ini bisa menginfeksi alat kelamin, rektum, dan tenggorokan, serta bisa menimbulkan komplikasi serius jika tidak diobati.
Penularan gonore hampir 100 persen terjadi melalui hubungan seksual yang tidak aman, baik secara vaginal, anal, maupun oral. Pada kasus bayi, penularan bisa terjadi dari ibu yang terinfeksi ke bayinya selama proses persalinan, yang bisa menyebabkan infeksi mata yang serius pada bayi baru lahir.
Dengan latar belakang informasi ini, kamu bisa membayangkan betapa tidak biasanya kasus yang menimpa balita di San Antonio ini. Ia tidak terlibat dalam aktivitas seksual, dan penularan dari ibu saat lahir pun tidak relevan dalam konteks ini. Ini adalah anomali medis yang sangat langka.
Inilah yang membuat kasus balita ini menjadi salah satu yang paling unik dan langka dalam sejarah medis. Infeksi gonore yang terjadi bukan melalui jalur penularan umum, melainkan karena konsumsi langsung bakteri dari cawan laboratorium. Sebuah skenario yang hampir mustahil terbayangkan sebelumnya.
Meskipun laporan kasus tidak merinci gejala spesifik yang dialami bocah tersebut, infeksi gonore di mulut dan tenggorokan seringkali tidak menunjukkan gejala yang jelas pada awalnya. Namun, bisa juga menimbulkan sakit tenggorokan, kemerahan, atau pembengkakan amandel, yang mungkin sulit dikenali pada balita. Kasus ini benar-benar membuka mata kita tentang betapa beragamnya cara patogen bisa masuk ke dalam tubuh, bahkan dalam skenario yang paling tidak terduga sekalipun.
Pelajaran Berharga dari Insiden Tragis
Insiden ini menjadi pengingat keras bagi semua pihak, terutama mereka yang bekerja di lingkungan laboratorium. Protokol keamanan laboratorium, yang seringkali terlihat rumit dan berlebihan, sebenarnya memiliki tujuan vital: mencegah kejadian tak terduga seperti ini. Penanganan, penyimpanan, dan pembuangan sampel klinis, apalagi yang berpotensi mengandung patogen berbahaya, harus dilakukan dengan sangat hati-hati dan sesuai standar yang ketat.
Biohazard harus selalu dianggap sebagai ancaman serius, terutama jika ada kemungkinan kontak dengan publik atau, dalam kasus ini, anak-anak yang memiliki rasa ingin tahu tinggi. Meninggalkan sampel di tempat yang mudah dijangkau, bahkan hanya di dalam mobil untuk sesaat, bisa berakibat fatal. Ini adalah pelajaran berharga tentang pentingnya kewaspadaan ekstra di luar jam kerja, terutama ketika materi berbahaya dibawa keluar dari lingkungan lab yang terkontrol.
Lebih luas lagi, kisah ini juga menjadi peringatan bagi semua orang tua di mana pun berada. Lingkungan rumah dan sekitar kita seringkali menyimpan potensi bahaya yang tidak kita sadari, terutama bagi anak-anak balita yang memiliki rasa ingin tahu tinggi dan cenderung mengeksplorasi dunia dengan memasukkan segala sesuatu ke dalam mulut mereka.
Oleh karena itu, penting sekali untuk selalu memastikan bahwa benda-benda berbahaya, baik itu bahan kimia rumah tangga, obat-obatan, baterai kecil, atau bahkan sampel laboratorium, selalu berada di luar jangkauan mereka. Kewaspadaan adalah kunci. Sekejap saja kelalaian bisa berujung pada konsekuensi yang tidak terbayangkan, seperti yang dialami balita malang ini.
Perspektif Kesehatan Masyarakat dan Penutup
Dari sudut pandang kesehatan masyarakat, kasus ini, meski sangat langka, menyoroti kompleksitas penularan penyakit. Meskipun gonore secara dominan adalah IMS, kejadian ini menunjukkan bahwa jalur penularan non-seksual, meski tidak umum, tetap bisa terjadi dalam kondisi ekstrem dan tidak terduga. Ini juga menegaskan pentingnya edukasi publik tentang bahaya patogen dan cara penanganannya, tidak hanya untuk profesional medis, tetapi juga untuk masyarakat umum. Kesadaran akan risiko dapat membantu mencegah insiden serupa di masa depan.
Kisah balita di San Antonio ini mungkin terjadi puluhan tahun lalu, namun resonansinya masih terasa hingga kini. Sebuah kecelakaan yang tragis, sebuah diagnosis yang mengejutkan, dan sebuah pelajaran berharga tentang keamanan, kewaspadaan, dan bahaya yang tak terduga yang bisa mengintai di sekitar kita. Semoga kisah ini menjadi pengingat bagi kita semua untuk selalu berhati-hati dan menjaga lingkungan sekitar, demi keamanan dan kesehatan anak-anak kita, generasi penerus bangsa.


















